脑出血的原因(脑出血怎么办)
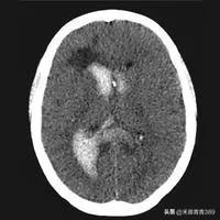
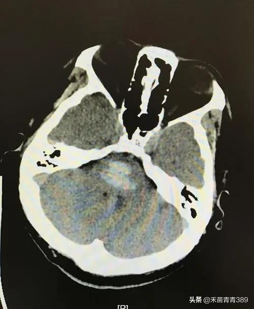
2022-09-22 01:43 阅读: 评论:脑出血是指原发性非外伤性脑实质出血,占急性脑血管病的20%~30%,约80%的出血部位发生在大脑半球,约20%的出血发生在脑干和小脑,发病年龄多在50岁以上,根据出血部位不同可分为,基底节区出血,丘脑出血,脑叶出血,脑干出血,小脑出血和脑室出血七种。根据病因不同,可分为原发性脑出血和继发性脑出血。根据出血量多少不同,临床症状轻重不同,严重者可昏迷,危及生命,一般脑出血症状表现有头疼,头晕,恶心,呕吐,言语不利,视物模糊,肢体活动障碍,意识改变,出现上述症状高度怀疑脑出血,尤其是平时血压高,和年龄大的患者,需要迅速到医院就诊,进行脑CT检查,当确诊脑出血后,立即住院治疗,住院后常规给予稳定血压,脑脱水降低颅内压和相关治疗。比较严重的脑出血是脑干出血,脑室出血,和出血量大患者,
死亡率比较高,大部分脑出血患者在内科药物保守治疗,出血量比较大的脑出血,脑室出血,需要外科开颅手术,或者颅穿引流,降低颅内压,防止脑疝形成。脑出血预后,与出血部位,出血量多少以及是否有合并症相关。一般急性期七天,两周后病情逐步稳定,经过积极治疗,绝大部分患者可以好转出院。脑出血康复和预防,要特别注意血压,控制血压在正常水平,要戒烟戒酒,清淡饮食,避免劳累,控制体重,规律休息,适当运动,稳定血糖血脂。
特别声明:
本文来源于网络,请核实广告和内容真实性,谨慎使用,本站和本人不承担由此产生的一切法律后果!

