大面积心肌梗死(心肌梗塞最多可活几年)

2022-09-22 05:32 阅读: 评论:
 

心肌梗死是我们临床急诊上的急危重症,需要我们医生打起十二分的精神来对待。很多心肌梗死死亡率和梗死的面积、治疗的及时性和有效性有很大的关系,严重者可导致猝死,而经过及时处理的心梗病人可以和正常人一样生活到老。如何早期识别、处理是决定心肌梗死患者预后的关键因素。当然,疾病重在预防,直接从源头做起更加有效。



心肌梗死是因为供应心脏血液的冠状动脉因急性的、持续性堵塞而导致相应的供血区发生缺血坏死的疾病。其起病急,病人往往突然出现胸骨后剧烈的压榨样疼痛,持续不缓解,伴有濒死感,部分病人可牵扯至肩背部、颈部、牙齿、腹部疼痛,可并发心律失常、休克、心力衰竭,常可危及生命。病人的心肌损伤酶谱指标会增高,同时出现进行性的心电图改变,大部分表现为心电图ST段的抬高,也有部分为非ST段抬高型心梗,可结合心肌损伤酶谱明确。



心肌梗死的常常发生在病人过度劳累、情绪激动、暴饮暴食、寒冷刺激、便秘和吸烟、大量饮酒的病人中。这些病人常常有基础的冠脉病变。



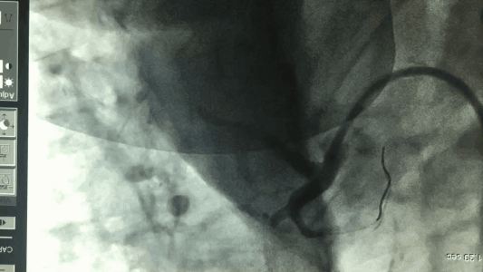
对于急性心肌梗死的病人,我们要及时识别,尤其是有高血压、糖尿病、高血脂等基础疾病的人群,当突然出现胸骨后持续性的剧烈疼痛,且含服硝酸甘油不能缓解时,需要警惕,立即服用负荷剂量阿司匹林和氯吡格雷,送去医院,完善心电图、心肌损伤酶谱检查,在发病12小时内可行直接冠状动脉介入治疗(急诊PCI)以开通闭塞的血管,必要时可安置支架,恢复血流,减少死亡。同时,注意并发症的处理,术后按医嘱服用药物。



说一千道一万,我们希望这种事情不要出现在大家身上。所以,请从现在做起,改变生活习惯,戒烟戒酒,控制饮食,改善情绪,对于高危人群,积极治疗原发病,同时,可针对性服用阿司匹林和调脂稳斑药。当发生急性心梗时,要及早就医方可减少死亡率。

本文由@全科扫地僧 原创写作,欢迎点赞、评论、转载,关注左上角获取更多健康知识。不足之处,敬请指正。图片来源于网络,仅供参考。

特别声明:

本文来源于网络,请核实广告和内容真实性,谨慎使用,本站和本人不承担由此产生的一切法律后果!

2021德玛西亚杯(2021德玛西亚杯什么时候举行) 死神平子真子(死神中的浦原喜助的真正身份是什么) 家装设计用什么软件(这么多家装设计软件,哪个比较靠谱) 股指期货如何开户(开户攻略:在哪些券商可以开通股指期货账户 太阳高度角计算器(太阳能计算器原理) 韩国割双眼皮(韩国割双眼皮需要多少钱?大概费用是多少钱?拜 如何开眼角整容(开内眼角过程是什么) 胃出血最佳治疗方法(胃出血该如何治疗呢) 时尚女装搭配(时尚小姐姐都喜欢什么样的搭配呢) 电饭锅菜谱(我想要大量用电饭煲做菜的食谱!有木有哪位仁兄支
热门文章
最近发表
友情链接