头痛是因为什么原因引起的(经常头疼应该做CT还是核磁共振检查比较好)
2022-09-22 05:45 阅读: 评论:坐门诊的时候,我经常会碰到一些头痛的患者前来检查,要求做头部CT。
俗话说:“己所不欲,勿施于人。”有相当一部分患者,其实我认为是既没有必要做CT,也没有必要做磁共振的。为什么我会这么说呢?
头痛的原因这么多,通过CT或者磁共振能够检查出来的,只有脑组织的结构变化,比如脑袋里长什么东西了,要不就是颅内出血,再或者脑梗,脑细胞坏死等。
如果患者是个年轻人,没有特殊的病史,血压不高,体格检查无异常,只是偶尔头痛一下,症状并不严重。则很有可能只是原发性头痛(比如紧张性头痛、偏头痛、三叉神经痛等)。这个时候做CT或磁共振检查的价值就显得比较低了。
当然,不同类型的患者需求也是不一样的。很多患者更愿意花钱检查,图个彻底放心,又或者患者确实要怀疑有脑血管病变或颅内结构性病变,这种时候选择哪种检查更好呢?
CT和磁共振各有优缺点:
CT:
优点:价格相对要便宜一些,检查速度快,用于急诊检查更方便。比如患者如果有脑出血、颅内骨折、只需要几分钟就能看到结果,便于我们迅速进行下一步诊治。
缺点:对于软组织的解析能力相对要差一些。
磁共振:
缺点:价格相对高一些,检查麻烦,速度慢。大多数情况下,检查需要预约,难以应用于急诊抢救(看骨质,看脑出血都不如CT清楚)。如果患者体内有金属植入物,有可能做磁共振也会受到限制。
优点:对软组织的解析力好于CT,比如早期的脑梗塞CT上可能看不出来,但是磁共振却很清楚。,看脑肿瘤、脑炎、脑白质病等脑内病变,也优于CT。有时候还能分析组织的代谢活动情况。
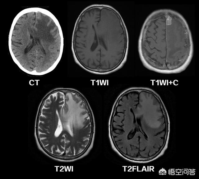
有一些情况下,可能两种检查都需要做,结合起来看更清楚。
(血管源性脑水肿,CT和不同形式磁共振扫描的结果对比。)
普通的门诊患者应该怎么选?
最好是听从医生的建议来选择检查手段。一般而言,如果患者病情急,可以先做个CT检查,如不能确定原因,再考虑磁共振。如果患者病情不急,可以慢慢等,选择磁共振检查可能更合适一些。
欢迎关注郑医生百嗑,每天学习更多实用医学知识。
有问题欢迎留言。
特别声明:
本文来源于网络,请核实广告和内容真实性,谨慎使用,本站和本人不承担由此产生的一切法律后果!

